Lugares mortales para familias de Nuevo Laredo
Se acerca la temporada de Semana Santa, y los ciudadanos de Nuevo Laredo se preparan para disfrutar de esta temporada, acudiendo a los sitios más comunes para pasar tiempo de calidad.
Se acerca la temporada de Semana Santa, y los ciudadanos de Nuevo Laredo se preparan para disfrutar de esta temporada, acudiendo a los sitios más comunes para pasar tiempo de calidad.
Con la participación de 80 empresas nacionales e internacionales, se inauguró en Nuevo Laredo Tamaulipas la 5ª Feria Nacional de Empleo 2017.Más de mil 600 oportunidades se ofertaron a cerca de 800 personas, quienes fueron concentradas en el Centro de Convenciones de esa ciudad, a fin de aprovechar la diversidad de giros: comercial, industrial y de servicios.
Niños juegan en canal de aguas negras de la colonia Reforma Urbana en Nuevo Laredo, debido a la carencia de áreas de esparcimiento, arriesgándose a contraer enfermedades, infecciones estomacales, dermatológicas y en los ojos
Una cría hembra de tigre de bengala Golden Tabí, es la nueva habitante del zoológico de Nuevo Laredo. La felina nació el 17 de febrero, dicha información se dio a conocer este miércoles por el presidente del municipio, Enrique Rivas Cuéllar.
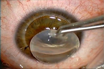
Fernando Ortegón Mireles, el subdirector del Hospital General Solidaridad de Nuevo Laredo; dio a conocer que ya cuentan con las córneas que este viernes 24 de marzo, les serán trasplantadas a un paciente neolaredense.
Rubén Ramos García, secretario de Obras Públicas, Desarrollo Urbano y Medio Ambiente comentó que se espera sea entregada la próxima semana el quirófano del Centro Oncológico de Nuevo Laredo.
De manera preocupante se mantiene un déficit en choferes de camiones de carga en nuestro país, esto a causa de una agresiva campaña de reclutamiento que involucra a conductores mexicanos, por parte empresas transportistas de Estados Unidos.
En Nuevo Laredo buscan ampliar sus destinos aéreos, por lo que la empresa Tar, busca la posibilidad de un vuelo a Mérida, pasando por Ciudad Victoria, Tampico y Veracruz.
La Alianza Ministerial Evangélica de Nuevo Laredo, Pastores Amigos, llevará a cabo su 14ª Marcha Evangélica por la Paz.
En lo que va del año, se han registrado un total de 48 casos nuevos de personas portadoras de Tuberculosis, de acuerdo con el departamento de Microbacteriosis de la Jurisdicción Sanitaria 5.
De acuerdo con la oficina de Transporte Urbano de Nuevo Laredo, de los 324 camiones habilitados, son aproximadamente entre 80 y 100 los que circulan fuera del rango de condiciones que expide la ley.
Con motivo del “Día Mundial del Agua”, la Comisión Municipal de Agua Potable y Alcantarillado (Comapa) de Nuevo Laredo, realizará los próximos días 22 y 23 de marzo la “Feria del Agua”, contando con 21 módulos interactivos, así lo informó el gerente, Rodolfo González Morales.
Se llevó a cabo la detención de tres secuestradores y la posterior liberación de la víctima, esto en un operativo en calles de Nuevo Laredo.
En la Casa Hogar Vida y Esperanza, se confirmó que un hombre de la tercera edad de 93 años, padece de tuberculosis.
El Alcalde de Nuevo Laredo, Enrique Rivas Cuellar, señaló que los problemas de salud por los que pasa Estados Unidos favorecen a los municipios fronterizos, por ello se buscará atraer ese sector a que se atienda del lado mexicano.
Víctor Santos, el Presidente de la Asociación de Agentes de Seguros y Fianza de Nuevo Laredo, dio a conocer que aquellas personas que tengan autos chocolate, pueden adquirir una póliza de seguro, por si tienen un accidente u ocasionan uno.
El próximo lunes 20 de marzo el equipo de trabajó de la Comisión Municipal de Agua Potable y Alcantarillado (Comapa), de los departamentos de redes de agua y drenaje brindaran servicio de atención a los clientes de 8 de la mañana a 2 de la tarde.
Algunos ciudadanos se han quejado ante la Procuraduría Federal del Consumidor (Profeco) en Nuevo Laredo, debido a que algunas compañías financieras trabajan al margen de la ley.
Después de 15 años de haberse inaugurado la Universidad Tecnológica de Nuevo Laredo, le darán su primer mantenimiento en los servicios de drenaje sanitario, esto es gracias al apoyo de iniciativa privada y del gobierno municipal.
Ante el clima que impera entre los gobiernos de México y Estados Unidos a partir de la llegada al poder del republicano Donald Trump, se ha planteado ante el Congreso del país vecino que el mandatario pueda reunirse con su homólogo, Enrique Peña Nieto en la frontera de “los dos Laredos” a fin de que puedan encontrarse en un ambiente neutral.
Al menos 450 cubanos se encuentran varados en el municipio fronterizo de Nuevo Laredo en espera de que se resuelva su situación migratoria en Estados Unidos, luego de que la ley conocida como “Dry foot, wet foot” (Pies secos, pies mojados) concluyera el pasado mes de enero.
Martín López Elizondo, subdirector de la Dirección de Tránsito y Vialidad de Nuevo Laredo, dio a conocer que en el transcurso de febrero, fueron reportados 129 accidentes de tránsito y que aunque disminuyeron los accidentes automovilísticos, aumentaron las muertes por percances viales.
La administradora del Hotel Don Antonio, Jessy Hernández inauguró el primer restaurante de comida cubana con el apoyo de tres huéspedes originarios del país isleño llamado “El Cubanito”.
Tras el cambio de horario en la zona fronteriza, en Nuevo Laredo se registró un ausentismo al nueve por ciento, el día de ayer en escuelas de educación básica.